关于BBC纪录片《瘦身十律》的总结,“绝食”减肥真的不靠谱
每一天全世界有数以百万计的人都在试图减肥,但是中的大部分都失败了。每天我们都充斥在“如何节食、如何瘦身”的信息轰炸中,可是到底又有哪些是真正起作用的呢?这几天,小典将英国BBC纪录片《减肥十律》刷了两遍,并从中发现了10条最简单的减肥方法。这些发现或许会重新定义减肥、节食。

低糖乳制品可以帮助你减肥
钙质能够与食物里的脂肪分子结合,在小肠中形成类似皂质的物质,我们的身体无法吸收这种物质,脂肪和钙就会穿肠而过,这意味着脂肪不会堆积在臀部,而是被排除体外。

低脂乳制品包括:脱脂奶、低脂酸奶、奶酪、白软干酪、鲜奶油等
持续运动,减少体重
日常生活中可以进行一些有氧运动,早晨起来慢跑30分钟左右,晚上的时候也可以夜跑一段时间,消耗热量不一定要去健身房,只要保持活跃就行了,但是在运动的同时,也别忘了保持相同的饮食。

减小餐具的尺寸
想象一下,一大盘的食物放在你的面前,用个大盘的盘子装的,你能抵挡得住这样的诱惑吗?但是换一下,用小的盘子去装,给你的就只有这么一点,那你吃的不就少了吗?(前提是禁止“续杯”),据计算,最终可以少吃22%。

汤能增加你的饱腹感
当我们在饭前喝一杯水,或者增加喝汤的频率,我们的饱腹感就会比较强烈,回想一下我们是不是经常有这样的感受,当我们喝了很多汤再吃饭,我们很容易就饱了,在我们吃固体食物时喝下的汤会使胃部暂时膨胀,随后又快速流出,只留下固体食物,食物体积就会小得多。

不要因为新陈代谢慢而责备它
这句话的意思在于每个人的新陈代谢能力是不同的,有的人不管他吃的是否油腻高脂肪,体重都不会有较大变化。这并不能责怪新陈代谢能力,可能是因为今天你的热量已经超过了身体所需的热量了,身体已经将多余的脂肪储存起来了。

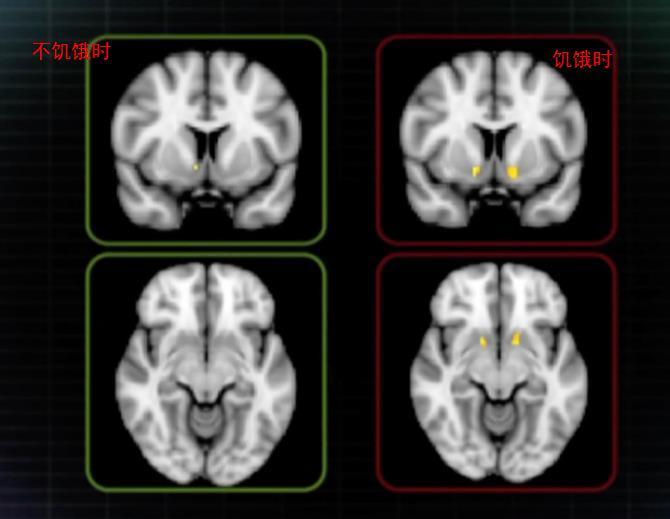
不要减少正餐的次数
人在饥饿的时候,对于食物的渴望会更加强烈,当我们不吃早饭的时候,我们一看到高热量的食物相对于低热量的食物是更加活跃的,就会觉得快餐炸鸡比青菜馒头有食欲。

饿的时候,大脑会想方设法的让你对高热量产生欲望,从而引发我们对于食物的强烈的渴望,意志力薄弱的人就会很难招架了。

蛋白质可以帮助你远离饥饿
每天都有人面临着减肥失败,很大一部分原因都在于他们无法坚持进行节食,其中的关键就在于如何避免饥饿感,而富含蛋白质的食物就可以让人的饱腹感保持时间更长。

只要在早餐中摄入十分之一的蛋白质,就能避免很强的饥饿感,让你饱腹更长时间,午餐的饭量就会减少了。
锻炼可以燃烧脂肪,效果可以延续24小时
身体依靠不同的燃料提供热量,碳水化合物及脂肪。而运动所主要的能量摄取就是碳水化合物,运动可以消耗大量的碳水化合物,身体需要22小时进行补充,在此期间,身体会通过燃烧脂肪来支持身体的运转,运动后脂肪会持续消耗24小时,即使是睡觉也不会停下。

计算好卡路里
在进餐之前计算好卡路里,吃东西的时候尽量的去选择一些热量较低的食物,如:黑咖啡,一杯黑咖啡的热量是10卡,而一杯卡布奇诺的热量是100卡,每天喝三杯黑咖啡就能少摄入270卡路里(想知道还有哪些低卡食物,欢迎浏览主页)。

选择越广,吃的越多
当我们面临多重选择的时候,对于我们减肥来说是不好的,比如,在自助餐的环境下,大脑会变得异常兴奋,会不自觉地让你去吃更多的食物,这种情况下吃的食物会比平时吃的多出30%左右,所以不要让自己有太多的选择,每天定时定量的进行食物搭配。

综上,不管减肥的方式有多么的多样,但是最终的方法都是一样的,通过消耗大于摄入减肥,所以从现在就行动起来吧!